Genoskin
Genoskin’s mission is to help biotech and pharmaceutical companies secure and accelerate drug development, by providing first-in-human data, without harming either humans or animals.
Ready-to-Use human skin models
Reliable preclinical insights
4500 human discarded skin samples collected

Genoskin combines unique live human data generation platforms with hi-tech machine learning, unbiased data analysis and expert advice to help you get the data you need to move your drug project forward. Genoskin believes that access to human data prior to clinical trials is essential to creating reliable human drugs in order to help patients faster.
In order to help science move forward in an ethical way, Genoskin uses donated tissue samples of real human skin as a basis for innovative and reliable skin models. Their human skin models and tools provide a better way to efficiently test chemical, pharmaceutical and cosmetic products without resorting to animal testing.
Featured Product: NativeSkin
Scientific Validation in Terms of Skin Structure
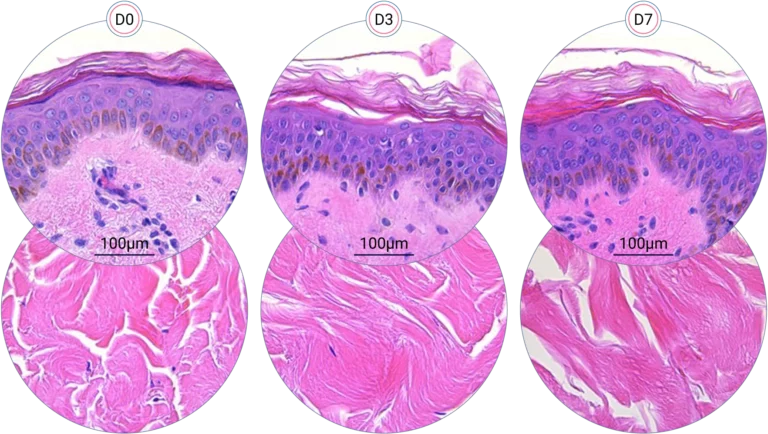
Human skin structure is maintained for +7 days
Since it is real human skin, NativeSkin® has the same structure and composition as in vivo human skin. It presents a mature stratum corneum and normal skin barrier function and their integrity can be preserved for 7 days. After 7 days of culture, experimental data may show higher variability but NativeSkin® remains viable. Hematoxilin & Eosin staining shows mature stratum corneum, a dermal-epidermal junction that comprises the key features of the dermal-epidermal junction of real human skin, with a preserved basal layer and rete ridges. The images also illustrate that dermis integrity is preserved for 7 days.

More About Genoskin
Test your compound on live human skin
Genoskin provides a unique range of human skin platforms for reliable first-in-human testing purposes. As opposed to animal skin or engineered models, all our models only contain real human skin that is kept alive for 7 days after surgery, thanks to our proprietary technology. This approach allows for a full week of testing opportunities on all the types of cells and appendages of real, live human skin. Simultaneously.
Flyers and Product Guides
- Flyers
- Product Guides
- Posters
- Application Notes
Coming Soon…
Need More Information?
The Krishgen support team strives to provide swift responses and resolution to your queries. Get in touch for a technical question, product query or quote request.
















